Selama 28 Tahun, Wanita Ini 'Simpan' Lensa Kontak di Balik Kelopak Matanya
Awalnya, dokter mengatakan bahwa kemungkinan ada kista di kelopak matanya dan harus di operasi.
POSBELITUNG.COM - Kejadian ini adalah sebuah pelajaran penting bagi semua pengguna contact lens.
Seorang wanita di Inggris yang berusia 42 tahun suatu hari mengeluhkan matanya yang terasa sakit. Kelopak matanya bengkak dan matanya terasa perih.
Awalnya, dokter mengatakan bahwa kemungkinan ada kista di kelopak matanya dan harus di operasi.
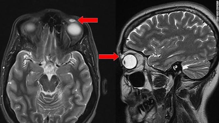
Namun saat diperiksa lebih lanjut, ahli bedah menemukan sebuah lensa kontak yang kaku terselip dalam kelopak mata wanita itu.
Padahal, lensa kontak jenis tersebut dia gunakan 28 tahun yang lalu.
Itu artinya lensa itu sudah berada di dalam matanya selama 28 tahun dan menyebabkan iritasi yang kini harus ia tanggung akibatnya.
Awalnya ada benjolan seukuran kacang di bawah alis kirinya dan terus tumbuh menjadi kista selama enam bulan.
Selain bengkak yang cukup parah, kelopak mata kirinya juga sakit saat disentuh.
Saat ahli bedah menemukan lensa kontak itu, masih kaku dan utuh. Saat diangkat, barulah lensa itu retak dan terkelupas.
Ternyata saat wanita itu berusia 14 tahun, dia menggunakan lensa kontak kaku dan bermain badminton.
Kok mengenai bagian mata kirinya dan sejak saat itu lensa kontak itu menghilang, tak bisa ditemukan dan tidak diambil.
Karena tidak terjadi apa-apa awalnya, keluarga menduga lensa kontak itu tidak berada di dalam mata tapi terlepas keluar saat terkena kok.
Biasanya lensa kontak yang terperangkap di dalam mata menyebabkan rasa sakut atau gatal dan kemerahan pada mata.
Kasusnya berbeda pada wanita ini karena menggunakan lensa kontak jenis kaku gas-permeabel yang dapat mentranmisikan oksigen. Lensa kontak itu seolah dienkapsulasi selama ini di dalam mata.
Sebelumnya di Inggris, dokter juga pernah menemukan 27 lensa kontak lunak yang terperangkap di dalam mata seorang wanita.
Meskipun kehilangan lensa kontak di dalam kelopak mata adalah kejadian umum bagi sebagian besar pemakai lensa, sebaiknya Anda tetap waspada.
Jika lensa kontak Anda menghilang saat dipakai dan Anda yakin itu masih ada di dalam mata, segera konsultasikan dengan dokter Anda.
Jangan tunggu hingga terjadi iritasi, ya!
